汽车
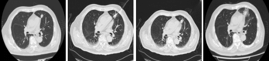
上海医生仅用35分钟一针消融病灶 机器人导航精准治疗
近日,上海市东方医院肿瘤科周彩存教授团队成功为一名高龄、肺功能基础差且病灶紧贴心脏的肺癌患者实施了机器人辅助下经皮穿刺消融手术
金饰克价跌回1603元 金价波动引关注
2026年3月1日,国际黄金价格升至5279.8美元/盎司。品牌金饰报价在1555至1608元/克之间,银行金条价格差异较大,水贝市场批发价约1330元/克,回收价约1148元/克
利弗莫尔中概股龙头指数收跌3.67%
利弗莫尔中概股龙头指数收跌3.67%。成分股中,南茂跌超11%,希尔威金属矿业跌9%,金山云、晶科能源跌超8%,小马智行、信也科技等跌超7%,小鹏汽车、唯品会等跌超6%,爱奇艺、奇富科技等跌逾5%;AHG涨10%,携程网、网易小幅上涨。...
男子买金条打三金时发现铼粉 掺假事件引发关注
湖南岳阳的王先生最近遇到了一件令人揪心的事情。他在中国黄金花费19380元购买了20克金条,准备用于结婚打三金。然而,在打金店进行最后制作时,意外发现金条内含有杂质,怀疑是掺假。经过专业仪器检测,确认金条中掺有铼粉
小伙退伍归来 全村敲锣打鼓唱歌欢迎
3月2日。贵州从江。据贵阳晚报最黔沿报道,从江小伙黄云龙退伍返回老家,全村的乡亲们站在村口迎接,敲锣打鼓唱歌欢迎黄云龙回家。...
油价或将于3月9日上调 预计涨幅超10%
3月9日24时,国内成品油价格将迎来调整。当前油价统计已过半,受上周国际油价上涨影响,原油变化率达到3.16%,预计上调油价130元/吨。这意味着汽柴油价格将上涨0.10元至0.12元每升
零食优选牵手汇通达网络,量贩双寡头格局下探路腰部突围
量贩零食行业迎来又一重磅整合。
国药系,清算注销一家公司
为提高管理效率及质量,国药系清算注销旗下公司。
陷4.19亿亏损阵痛,商业化2.0时代亚虹医药如何破局?
近日,亚虹医药(688176.SH)发布了2025年业绩快报。
以军越过“蓝线”进入黎巴嫩境内
新华社贝鲁特/耶路撒冷3月3日电(记者申峰 庞昕熠)黎巴嫩安全部门消息人士和目击者对新华社记者说,一支以色列部队3日早间越过黎以临时边界“蓝线”,向黎境内推进约一公里。 消息人士称,这支以色列部









