00后短剧女演员确诊胃癌 高压工作下的健康警示
2025-08-28 HaiPress
24岁的小雯清秀漂亮,从小就对表演充满热情,经常模仿电视剧中的角色。上大学后,她利用课余时间兼职拍广告、客串MV,积累了丰富的经验。毕业后,她顺利签约一家影视公司,成为一名短剧演员。

然而,短剧行业紧凑的制作节奏让她感到压力巨大。为了赶进度,剧组经常连轴转,白天拍外景,晚上赶内景,忙起来连吃饭都顾不上,她只能靠一杯接一杯的咖啡提神。小雯以为年轻就是资本,咬咬牙扛一扛就过去了,但长期处于高压工作状态,她的身体还是悄悄亮起了“红灯”。她时常感到胃部隐隐作痛,还会反酸烧心,但她认为这只是劳累带来的“小毛病”,自己买点药应付过去。

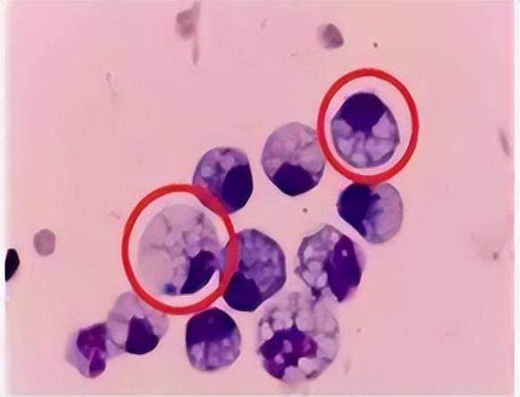
直到她开始频繁出现黑便,并在片场拍戏时几次呕血,才被同事紧急送往医院急诊。医生立即为她安排了急诊胃镜检查,发现她整个胃窦被巨大的溃疡占据,黏膜组织变得僵硬、缺乏弹性。随后的活检结果显示,她患上了胃印戒细胞癌。

躺在病床上,小雯感慨道:“现在很多年轻人像我一样,三餐不定时,白天靠咖啡硬撑赶工,晚上聚会又免不了喝很多酒。真的希望大家别像我这样,一点点把身体拖垮了。”
小雯所患的印戒细胞癌被称为“胃癌之王”,是胃癌中一种恶性程度极高的类型,占胃癌恶性肿瘤的10%左右。这种癌症的特点是隐匿性强,在胃镜下表现不明显,识别非常困难。早期患者很多没有明显的症状,或者症状和普通消化道疾病相似,极易被忽视。多数发现时已是晚期,且具有很强的侵袭力,易转移,病情进展快。晚期患者的生存期一般只有6-12个月,5年生存率几乎为零。
免责声明:本文转载自其它媒体,转载目的在于传递更多信息,并不代表本网赞同其观点和对其真实性负责,亦不负任何法律责任。 本站所有资源全部收集于互联网,分享目的仅供大家学习与参考,如有版权或知识产权侵犯等,请给我们留言。
